NBA巨星詹姆斯曾经在比赛时一个急停,便在球场中间留下了如卡车刹车一般的鞋印,可见NBA球员在比赛时及平时的训练中足部要承担多大的负荷。
可能你要问这两者有什么关系,那么你可以比较一下记者偶然拍到的詹姆斯的脚,以及资深高跟鞋女神的脚。
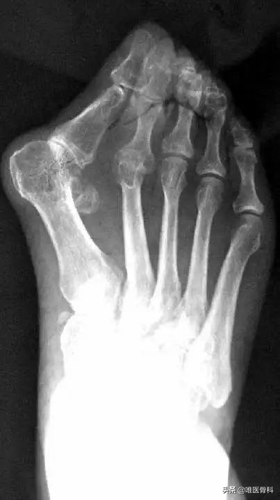
就是我们今天的主角——外翻,它不仅困扰着体育明星,同时,也是千千万万爱美女性的噩梦。
一、病因
大约有一半外翻患者是遗传了父母的足部畸形,比如他们天生脚掌就向内发育,大指则相对的向外侧偏斜。
另外一半患者就是我们长期脚踩高跟鞋的美女,脚趾受到经年累月的异常挤压是导致外翻的主要病因之一:高跟鞋多采用三角尖头设计,当美女们的脚踩进鞋里后,坚硬的鞋面迫使趾向其余四趾靠拢并扭曲,小趾也向内侧靠拢扭曲,中间三个趾头在憋屈的空间里不得不稍微弯曲并向上翘起,常年累月的挤压,逐渐“修炼”成了外翻。
运动员的脚在运动鞋中,受到高强度体育对抗的折磨,也是同样的道理。
二、病程进展
我们一般依据指外翻的程度还有患者的症状,将外翻大致分为4个阶段,如果您发现您的指已经越来越向外了,那就应该尝试对号入座,引起足够重视了。
1、外翻可逆阶段
大指外翻10°左右,一般没有疼痛感,脚掌有轻微的茧,一般不影响行走,但穿高跟鞋时会有些痛。
2、外翻挛缩阶段
大指外翻10~20°左右,第一和第二脚趾有明显的向外侧挤压,脚掌明显变宽,足底脚茧明显。关节和韧带发生炎症,长时间行走的话,会出现大趾根部疼痛和脚掌疼痛。
3、 外翻严重阶段
大趾外翻20~40°左右,足趾重叠。正常人足底有两个向上的拱起,称为横弓和纵弓,这样走起路来比较有弹性,比较省力,而这个阶段的外翻患者,横弓因为足趾的挤压,基本已经消失、塌陷——形成我们所谓的“扁平足”。
有的患者足底经常摩擦,产生鸡眼,老茧,脚垫。脚后跟出现疼痛,行走时难以把握平衡。
4、大指畸形阶段
大指外翻40°以上,指严重重叠,足趾在走路时基本上派不上什么用场,扁平足,十分疼痛,行走困难。
三、治疗
1、 非手术治疗
早期的病变我们可以通过非手术治疗来解决,比如改穿宽大松软的鞋、按摩、理疗、进行足底肌肉的功能锻炼,休息等等。外翻分趾器也受到临床推荐,它可以人为矫正足趾的挤压重叠。
有条件的患者可以尝试“体操矫正外翻”,即在两侧第1趾上套橡皮带做左右相反方向的牵引动作,每天2次,每次5~10分钟。
同时还要设法减轻对骨突的压力和摩擦,可以在骨突周围放一软护垫:
如果疼痛局限于大指根部,还可以在疼痛部位做穿刺排液,封闭治疗。
2、手术治疗
手术治疗的目的是减轻疼痛、纠正畸形、恢复足部的正常功能,适用于中晚期患者。有些人外翻畸形十分严重,但是患者一点痛感都没有,这一类人不建议手术。
治疗外翻的手术目前有大概200多种,可被归纳为5类:
(1)软组织手术:目的是降低肌肉对跖骨的牵拉力;
(2)骨切除术:切除部分骨骼,使挛缩的软组织松弛,解除症状。常用的有Mayo手术和Kellel手术;
(3)矫正第1跖骨内翻截骨术,或同时施行软组织手术和(或)骨切除术;
(4)第一跖趾关节融合术;
(5) 小切口手术。
小切口手术已经在欧美被许多足外科医师采用,国内也逐渐成为热门,其创口小,不需内固定,患者下地早,痛苦小,恢复快。
四、总结
高跟鞋可以凸显女性挺拔的身姿,使万千女性成为气质女王,但也是造成外翻畸形不可忽视的元凶。在劳累一天的职场打拼后,不妨善待你们的双足,解放束缚的脚趾头,换上宽松舒适的运动鞋,让脚趾也在紧张之余松一口气。
而对于球场上挥汗如雨的运动员,我们应当心怀敬意,为了呈现精彩刺激的比赛,他们默默承受着伤病。你也许见过詹姆斯在球场上的高光时刻,但你绝没有见过他在台下拼命的付出,更没有见过他为体育事业奋斗留下的严重外翻。
